Nowy uśmiech, nowa pewność siebie
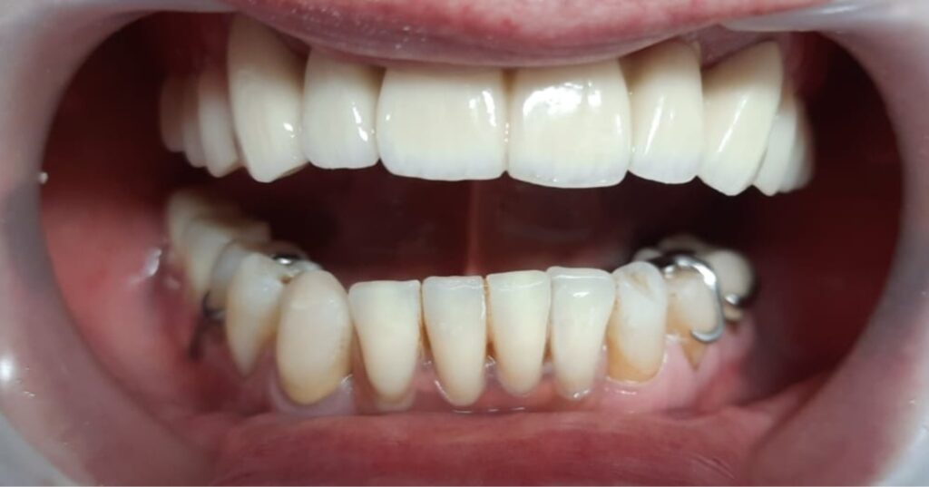
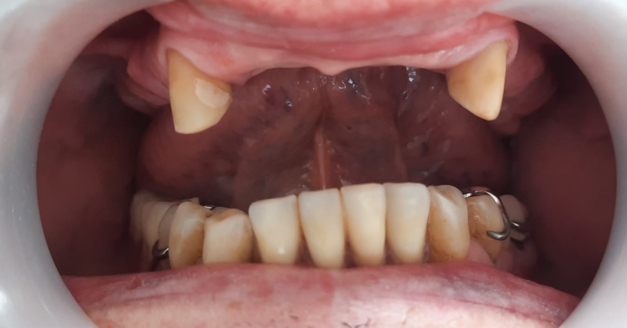
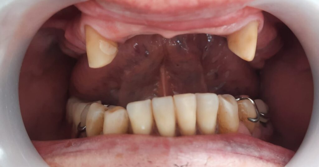
Pacjent zgłosił się do Altom Clinic z poważnymi brakami w odcinku przednim, które wpływały zarówno na wygląd, jak i funkcję narządu żucia. Oprócz trudności w codziennym funkcjonowaniu, takich jak mówienie czy gryzienie, istotnym problemem była również znaczna utrata estetyki uśmiechu.
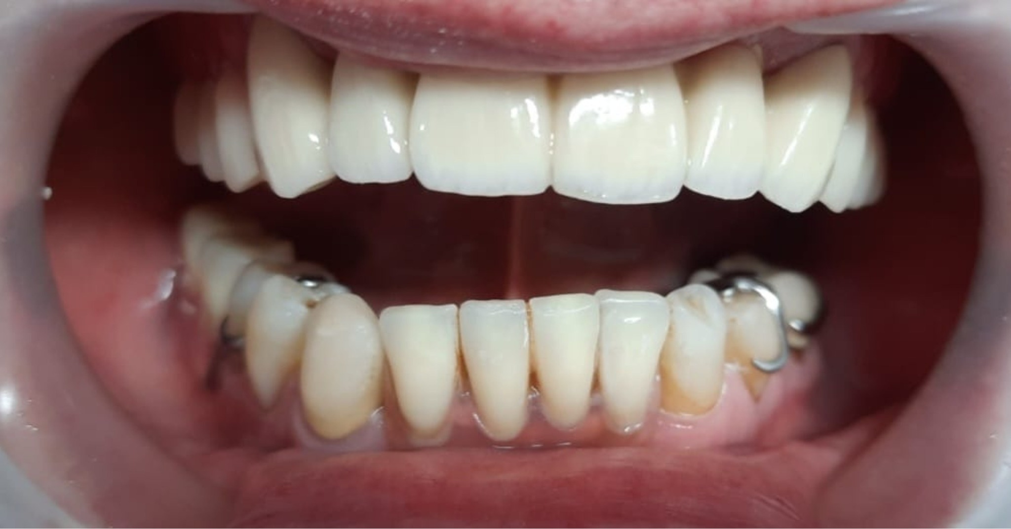
Po szczegółowej diagnostyce 𝐳𝐚𝐩𝐥𝐚𝐧𝐨𝐰𝐚𝐥𝐢𝐬́𝐦𝐲 𝐤𝐨𝐦𝐩𝐥𝐞𝐤𝐬𝐨𝐰𝐞 𝐥𝐞𝐜𝐳𝐞𝐧𝐢𝐞 𝐩𝐫𝐨𝐭𝐞𝐭𝐲𝐜𝐳𝐧𝐞, które pozwoliło przywrócić pełną funkcję zgryzu oraz estetykę uśmiechu – w sposób indywidualnie dopasowany do potrzeb i warunków anatomicznych Pacjenta
.
Finalny efekt to 𝐧𝐚𝐭𝐮𝐫𝐚𝐥𝐧𝐢𝐞 𝐰𝐲𝐠𝐥𝐚̨𝐝𝐚𝐣𝐚̨𝐜𝐲, 𝐡𝐚𝐫𝐦𝐨𝐧𝐢𝐣𝐧𝐲 𝐮𝐬́𝐦𝐢𝐞𝐜𝐡, który spełnia zarówno wymagania estetyczne, jak i funkcjonalne. Dzięki zaawansowanej protetyce i precyzyjnemu planowaniu leczenia, Pacjent odzyskał pewność siebie oraz komfort codziennego życia.
W Altom Clinic 𝐤𝐚𝐳̇𝐝𝐲 𝐩𝐫𝐳𝐲𝐩𝐚𝐝𝐞𝐤 𝐭𝐫𝐚𝐤𝐭𝐮𝐣𝐞𝐦𝐲 𝐢𝐧𝐝𝐲𝐰𝐢𝐝𝐮𝐚𝐥𝐧𝐢𝐞, dobierając rozwiązania, które najlepiej odpowiadają potrzebom naszych Pacjentów – bo piękny uśmiech to połączenie zdrowia, estetyki i nowoczesnej technologii.


