Kompleksowe leczenie ortodontyczne z wykorzystaniem aparatu Hyrax i maski twarzowej – interdyscyplinarne podejście w Altom Clinic
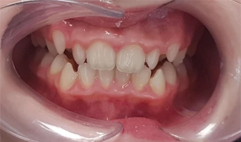
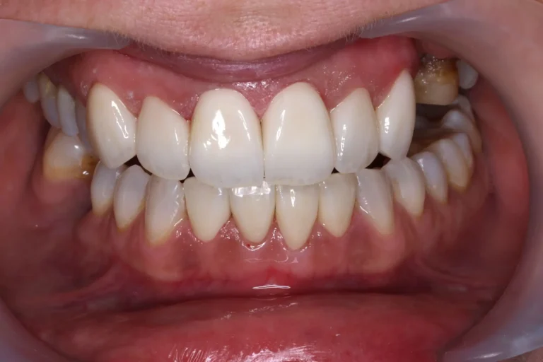
Ortodoncja Kompleksowe leczenie ortodontyczne z wykorzystaniem aparatu Hyrax i maski twarzowej Do Altom Clinic trafił młody Pacjent z rozpoznanym zwężeniem szczęki, przodozgryzem oraz utrwalonym nawykiem oddychania przez usta – zarówno…
