Skuteczne leczenie ortodontyczne u nastolatki – przypadek stłoczenia zębów i braku miejsca na kły

podziel się na:

Skuteczne leczenie ortodontyczne u nastolatki

Ortodoncja

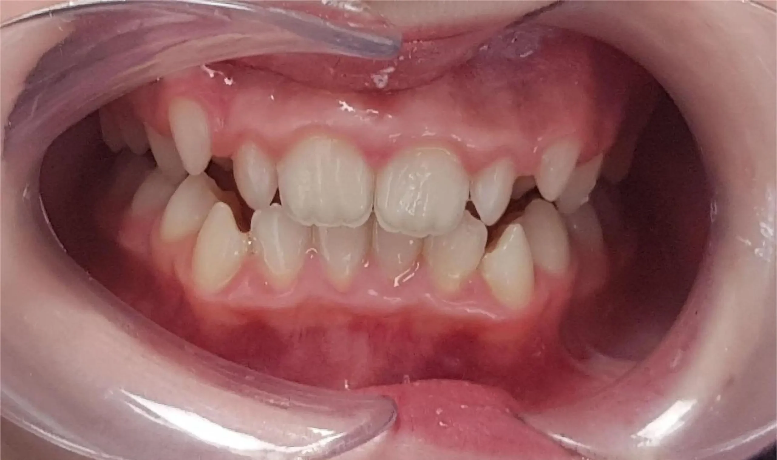
Do Altom Clinic zgłosiła się młoda Pacjentka w wieku szkolnym z problemem nasilonego stłoczenia zębów w obu łukach oraz widocznym brakiem miejsca dla wyrzynających się górnych kłów. Tego rodzaju wady zgryzu, jeśli nie zostaną wcześnie zdiagnozowane i leczone, mogą prowadzić do poważniejszych zaburzeń funkcjonalnych oraz estetycznych w przyszłości.

Po przeprowadzeniu pełnej diagnostyki ortodontycznej, w tym analizy modeli diagnostycznych, zdjęć cefalometrycznego i pantomograficznego, zdecydowano o wdrożeniu leczenia z wykorzystaniem stałego aparatu przedsionkowego na oba łuki zębowe.

Celem terapii było nie tylko uszeregowanie stłoczonych zębów, ale przede wszystkim stworzenie odpowiedniej przestrzeni dla prawidłowego położenia górnych kłów. Wczesna interwencja ortodontyczna w tym wieku pozwala na znaczną efektywność leczenia.

Przebieg terapii został dostosowany do wieku i możliwości Pacjentki, a dzięki systematycznym wizytom kontrolnym oraz doskonałej współpracy z rodzicami, możliwe było utrzymanie prawidłowej higieny jamy ustnej i monitorowanie postępów leczenia.

Leczenie zakończyło się osiągnięciem harmonijnego, funkcjonalnego zgryzu oraz estetycznego uśmiechu. co nie tylko poprawi wygląd uśmiechu, ale również wpłynie pozytywnie na dalszy rozwój twarzoczaszki.-> to do wykreślenia, nie jest to prawda

W Altom Clinic stawiamy na wczesną diagnostykę i indywidualne podejście – bo dobrze poprowadzone leczenie ortodontyczne w młodym wieku to inwestycja w zdrowie i piękny uśmiech na całe życie.