Leczenie ortodontyczne w toku – zbliżamy się do pięknego i zdrowego uśmiechu

podziel się na:

Ortodoncja

Leczenie ortodontyczne w toku

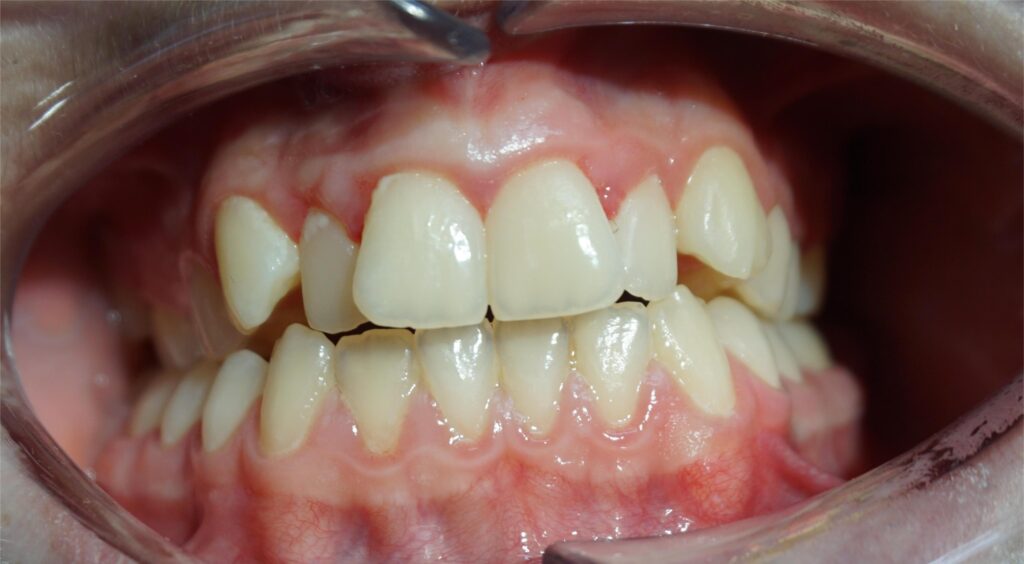
W Altom Clinic prowadzimy leczenie ortodontyczne dorosłego Pacjenta ze znacznym stłoczeniem zębów w obu łukach zębowych, powikłanym jednostronnym zgryzem krzyżowym bocznym. Taka wada zgryzu wpływa nie tylko na estetykę uśmiechu, ale również na funkcję żucia, symetrię twarzy oraz na całą postawę ciała.

Po przeprowadzeniu kompleksowej diagnostyki, obejmującej m.in. analizę cefalometryczną, analizę zdjęcia panoramicznego i modeli diagnostycznych, zdecydowaliśmy o wdrożeniu leczenia aparatem stałym przedsionkowym w obu łukach zębowych.

Dzięki konsekwentnemu przestrzeganiu zaleceń i regularnym wizytom kontrolnym leczenie przebiega zgodnie z planem. Obecnie jesteśmy na końcowym etapie terapii – przed zdjęciem aparatu. Osiągnięto już znaczącą poprawę pozycji zębów oraz korektę zgryzu krzyżowego.

Finishing czyli końcowa faza leczenia ortodontycznego ma na celu uzyskanie prawidłowych kontaktów zębowych i zapewnienie stabilności efektów leczenia w przyszłości. Już teraz widać wyraźną różnicę – zęby są wyrównane, a łuki zębowe harmonijne i symetryczne.

Ten etap leczenia to czas na szczególną dbałość o higienę jamy ustnej i ostatnie korekty, które przygotowują Pacjenta do zdjęcia aparatu i rozpoczęcia etapu retencji.

W Altom Clinic każdy plan leczenia tworzony jest indywidualnie, a efekty są nie tylko przewidywalne, ale i długotrwałe. Jesteśmy dumni z postępów naszych Pacjentów i z przyjemnością towarzyszymy im w drodze do zdrowego i pięknego uśmiechu.