Kompleksowa odbudowa protetyczna
Pacjent zgłosił się do Altom Clinic z poważnymi brakami w odcinku przednim, które wpływały zarówno na wygląd, jak i funkcję narządu żucia. Oprócz trudności w codziennym funkcjonowaniu, takich jak mówienie czy gryzienie, istotnym problemem była również znaczna utrata estetyki uśmiechu.
Po szczegółowej diagnostyce zaplanowaliśmy kompleksowe leczenie protetyczne, które pozwoliło przywrócić pełną funkcję zgryzu oraz estetykę uśmiechu – w sposób indywidualnie dopasowany do potrzeb i warunków anatomicznych Pacjenta.
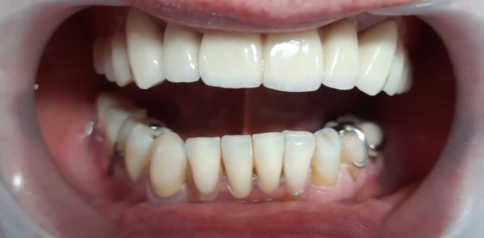
W odcinku przednim wykonano most protetyczny obejmujący zęby od 13 do 23. W odcinkach bocznych, gdzie występowały braki zębowe, zastosowano protezę szkieletową mocowaną na zatrzaskach. To stabilne i funkcjonalne rozwiązanie znacząco poprawiło komfort użytkowania i pozwoliło uniknąć tradycyjnych klamer widocznych podczas mówienia czy uśmiechu.
Finalny efekt to naturalnie wyglądający, harmonijny uśmiech, który spełnia zarówno wymagania estetyczne, jak i funkcjonalne. Dzięki zaawansowanej protetyce i precyzyjnemu planowaniu leczenia, Pacjent odzyskał pewność siebie oraz komfort codziennego życia.
W Altom Clinic każdy przypadek traktujemy indywidualnie, dobierając rozwiązania, które najlepiej odpowiadają potrzebom naszych Pacjentów – bo piękny uśmiech to połączenie zdrowia, estetyki i nowoczesnej technologii.


