Metamorfoza uśmiechu bez ortodoncji – nowoczesne rozwiązanie w Altom Clinic

podziel się na:

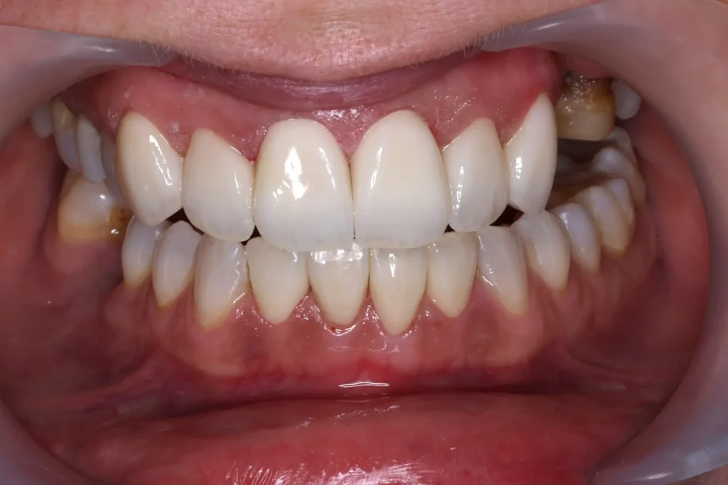
Metamorfoza uśmiechu bez ortodoncji

Pacjentka zgłosiła się do naszej kliniki na protetyczną z pragnieniem uzyskania estetycznego, jasnego uśmiechu i wyrównanego łuku zębowego. Jednocześnie z góry wykluczyła leczenie ortodontyczne jako opcję terapeutyczną.

Po przeprowadzeniu szczegółowej diagnostyki, w tym analizy fotograficznej, badania okluzji oraz cyfrowego projektowania uśmiechu, zaproponowaliśmy spersonalizowany plan leczenia protetycznego. Na podstawie wykonanej symulacji efektu końcowego zapadła decyzja o zastosowaniu licówek i koron pełnoceramicznych, które pozwoliły uzyskać efekt estetyczny bez konieczności przesuwania zębów ortodontycznie.

Leczenie przebiegło sprawnie i obejmowało minimalnie inwazyjną preparację zębów, dobór koloru odbudów oraz tymczasowe uzupełnienia, które pozwoliły Pacjentce przyzwyczaić się do nowego kształtu zębów przed finalnym osadzeniem prac stałych.

Efekt końcowy to harmonijny, jasny uśmiech idealnie dopasowany do twarzy Pacjentki. Uzyskaliśmy nie tylko poprawę estetyki, ale również pełną funkcjonalność uzębienia. Dzięki zastosowaniu wysokiej jakości ceramiki, uzupełnienia są trwałe, odporne na przebarwienia i prezentują się niezwykle naturalnie. Ze względów osobistych pacjentki, dalsza część metamorfozy w drugiej ćwiartce, będzie kontynuowana w późniejszym czasie.

Metamorfoza ta pokazuje, że w odpowiednio dobranym planie leczenia można osiągnąć spektakularne efekty estetyczne bez konieczności długotrwałego leczenia ortodontycznego.

Zapraszamy do Altom Clinic – jeśli marzysz o pięknym uśmiechu, wspólnie znajdziemy dla Ciebie najlepsze rozwiązanie.