Metamorfoza uśmiechu – kompleksowa rekonstrukcja protetyczna

podziel się na:

Metamorfoza uśmiechu – przypadek nr 1

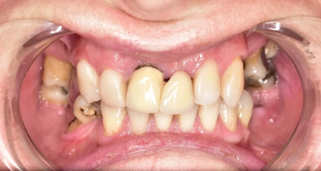
Pacjentka zgłosiła się do naszej kliniki z licznymi brakami w uzębieniu, które nie tylko wpływały na estetykę jej uśmiechu, ale także utrudniały codzienne funkcjonowanie. Nieprawidłowości w rozkładzie sił żucia, trudności w artykulacji oraz dyskomfort psychiczny związany z niepełnym uzębieniem stanowiły istotny problem, wymagający interdyscyplinarnego podejścia terapeutycznego.

Proces leczenia rozpoczęliśmy od kompleksowej diagnostyki oraz wdrożenia leczenia zachowawczego, którego celem było przygotowanie zębów do dalszej odbudowy protetycznej. W przypadku zębów niemożliwych do uratowania podjęliśmy decyzję o ich ekstrakcji, co pozwoliło na eliminację potencjalnych źródeł stanu zapalnego i przywrócenie prawidłowych warunków okluzyjnych.

Kluczowym etapem terapii była rekonstrukcja braków zębowych z wykorzystaniem mostów protetycznych. W odcinku przednim zastosowaliśmy estetyczne mosty pełnoceramiczne na podbudowie z tlenku cyrkonu, które dzięki swoim właściwościom optycznym doskonale imitują naturalną translucencję szkliwa i harmonijnie komponują się z fizjonomią twarzy pacjentki. W odcinkach bocznych, ze względu na większe obciążenia mechaniczne związane z żuciem, zdecydowaliśmy się na zastosowanie mostów na podbudowie metalowej, gwarantujących trwałość i wysoką odporność na siły działające w odcinku bocznym.

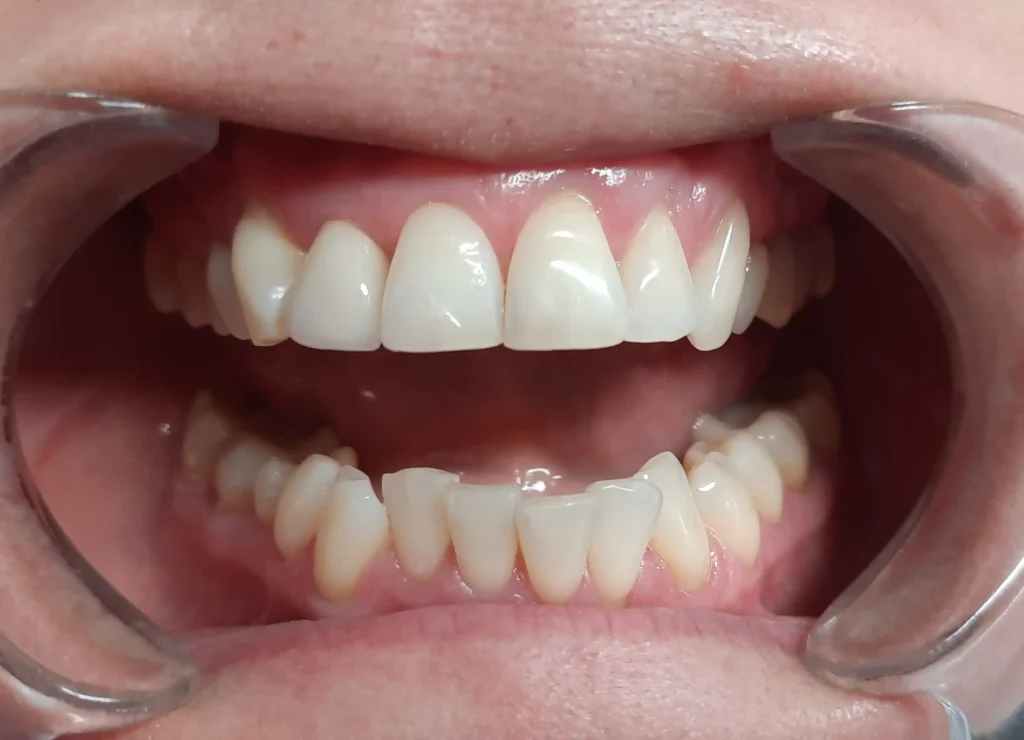
Efekt leczenia to pełny, funkcjonalny i estetyczny uśmiech, który nie tylko przywrócił pacjentce komfort w codziennym funkcjonowaniu, ale również znacząco wpłynął na jej pewność siebie i jakość życia. Dzięki indywidualnie dopasowanemu planowi leczenia oraz zastosowaniu nowoczesnych technologii protetycznych udało się osiągnąć rezultat spełniający zarówno wymagania estetyczne, jak i biomechaniczne.

Jeśli również borykasz się z brakami zębowymi i marzysz o pełnym, zdrowym uśmiechu, zapraszamy na konsultację.

Znajdziemy dla Ciebie najlepsze rozwiązanie, dostosowane do Twoich potrzeb i oczekiwań.


Metamorfoza uśmiechu – przypadek nr 2

Pacjentka zgłosił się do Altom Clinic z zamiarem poprawy estetyki swojego uśmiechu. Po dokładnej diagnostyce i analizie warunków zgryzowych zapadła decyzja o wykonaniu pełnoceramicznych koron na zębach 12 i 14 (dwójka i czwórka górne prawe) z wykorzystaniem tlenku cyrkonu. To rozwiązanie pozwoliło uzyskać efekt naturalnego uśmiechu przy jednoczesnym zachowaniu pełnej funkcjonalności zębów.

Korony cyrkonowe wyróżniają się wyjątkową estetyką, ponieważ ich właściwości optyczne doskonale odwzorowują naturalne szkliwo. Są również biokompatybilne, co sprawia, że świetnie sprawdzają się u pacjentów z nadwrażliwością na metalowe uzupełnienia. Ich trwałość i odporność na ścieranie zapewniają długotrwały efekt, a dzięki nowoczesnym technologiom możliwe było wykonanie uzupełnienia przy minimalnej ingerencji w naturalne struktury zębów.

Proces leczenia rozpoczął się od precyzyjnego przygotowania i oszlifowania zębów, następnie wykonano cyfrowy skan, co umożliwiło idealne dopasowanie kształtu i koloru koron. Dzięki zastosowaniu technologii CAD/CAM korony zostały wykonane z najwyższą precyzją, a końcowy etap leczenia obejmował ich cementowanie i ostateczną ocenę estetyczną.

Efekt końcowy to harmonijny, zdrowo wyglądający uśmiech, który natychmiast poprawił komfort pacjenta i dodał mu pewności siebie.

 Jeśli również marzysz o pięknym i naturalnym uśmiechu, skontaktuj się z nami i sprawdź, jakie rozwiązanie będzie najlepsze dla Ciebie!